Tooth Guard Logo

معلومات عنا

معلومات عن TOOTH GUARD

شركائك في صحة الأسنان

في عيادات Tooth Guard، نؤمن بأن العناية بالأسنان يجب أن تكون تجربة شخصية ومتميزة. يضم فريقنا نخبة من الخبراء البارزين وقادة المجال، بما في ذلك أعضاء هيئة التدريس من أرقى الجامعات المصرية. نحن ملتزمون بالابتكار المستمر في طب الأسنان، لضمان تقديم أعلى مستوى من الرعاية لابتسامتك.

فريقنا

خبراء شغوفون ملتزمون بابتسامتك

يتكون فريقنا في Tooth Guard Clinics من متخصصين ذوي مهارات عالية لتقديم رعاية أسنان متميزة. يجلب كل عضو في الفريق خبرة فريدة والتزامًا بالتميز.

Dr. Mohamed Hegab

دكتور محمد حجاب

الدكتور محمد حجاب، الذي يتمتع بخبرة 15 عامًا، هو أحد أطباء الأسنان الرائدين لدينا المشهورين برعايته الدقيقة ونهجه المبتكر. متخصص في إجراءات طب الأسنان الروتينية والمتقدمة، الدكتور حجاب شغوف بتغيير الابتسامة وتعزيز ثقة المريض.

عقود من الخبرة:

مع علاج الآلاف من المرضى كل عام، فإن خبرتنا لا مثيل لها.

التقنيات المبتكرة:

نحن نستخدم أحدث التطورات في تكنولوجيا طب الأسنان لتقديم العلاجات المتطورة.

الرعاية الشاملة:

نحن نركز على رفاهيتك بشكل عام، مما يضمن أن تجربتك معنا مريحة ومجزية.

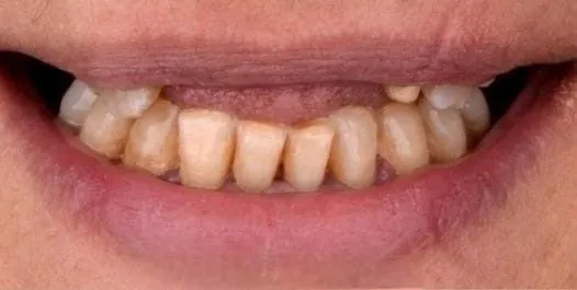
التحولات في طب الأسنان

شاهد النتائج المذهلة التي حققها فريقنا الماهر في عيادات توث جارد. يعرض معرضنا قبل وبعد القوة التحويلية لعلاجات الأسنان لدينا، من التحسينات التجميلية إلى الحلول الترميمية.

Before
After

تواصل معنا اليوم لبدء رحلتك إلى ابتسامة أكثر صحة

فريقنا جاهز للمساعدة في المواعيد والإجابة على أسئلتك وإرشادك نحو تحقيق ابتسامتك المثالية